EN
AR
Neurology
av category background image

IntelliSpace Portal clinical portfolio

We are always interested in engaging with you.

Let us know how we can help.

1
Select your area of interest
2
Contact details

CT Brain Perfusion to determine areas of reduced cerebral blood flow compared to the contralateral hemisphere

ct brain youtube video thumbnail

The application generates qualitative and quantitative information about changes in image intensity over time.

Bringing insight to the body’s most complex organ

Neurological cases can be challenging - especially strokes, where “time is brain” and you need to act fast. IntelliSpace Portal offers a rich suite of advanced visualization neurology tools to help you assess blood flows to different parts and tissues of the brain, and evaluate neurological degenerative diseases. The IntelliSpace Portal neurology package includes a longitudinal brain lesion tracker and smart ROI tools that are designed to support diagnostic confidence.

Advanced 3D and graphical tools help you store, present, and communicate clinical information to support diagnostic confidence and productive collaboration.

Brain Perfusion

CT Brain Perfusion

Determine areas of reduced cerebral blood flow as compared to the contralateral hemisphere

Generates qualitative and quantitative information about changes in image intensity over time. The application calculates and displays quantitative color maps of cerebral blood flow (CBF), cerebral blood volume (CBV), mean transit time (MTT) and time-to-peak (TTP), and provides summary maps which may help physicians in determining areas of reduced cerebral blood flow compared to the contra lateral hemisphere.

brain perfusion thumbnail

Benefits

  • Perfusion and summary maps can be generated automatically and sent to PACS for convenient reviewing.
  • With studies of sufficient scan duration, permeability analysis can be used as an assessment of the contrast agent permeation of the blood-brain barrier.
  • The default parameters and thresholds used to create the summary maps may be edited by the user according to the physician’s preference.
  • Automatic motion correction that can be further refined manually if needed.
  • Quality indicators (“traffic lights”) point at possible acquisition faults that may affect the results.
  • Pre-defined ROI templates for systematic and reproducible quantitative regional results.

Spectral Advanced Vessel Analysis

CT Spectral Advanced Vessel Analysis

IQon Spectral CT Functionality

Benefits

  • Bone removal on different energy levels.
  • Spectral plots to characterize plaque and stenosis.
  • Different energy results comparison.
  • Evaluation of the extent of lumen occlusion.

spectral advanced vessel analysis thumbnail
Spectral Light Magic Glass

CT Spectral Light Magic Glass

Review spectral data in a range of not spectral-enhanced CT applications

Allows retrospective use of spectral data that was saved in a series of spectral base images (SBI).
 

The fast launch of LMG allows review and identification of the most relevant results to be launched into the application for further analysis.

spectral light magic glass thumbnail

Benefits

  • The option is available from the following applications: Brain Perfusion, Functional CT, Liver Analysis, PAA, TAVI, Acute Multifunctional Review, Virtual Colonoscopy.
  • Spectral Magic Glass can be launched only for CT images or images created on the Philips IQon Spectral CT.

Spectral Magic Glass on PACS

CT Spectral Magic Glass on PACS*

IQon Spectral CT Functionality

IQon Spectral CT is the only scanner to offer CT Spectral Light Magic Glass and CT Spectral Magic Glass on PACS, helping radiologists review and analyze multiple layers of spectral data at once, including on their PACS.

spectral magic glass on pacs thumbnail

Benefits

  • On-demand simultaneous analysis of multiple spectral results for an Region Of Interest (ROI).
  • Integrates into a health system’s current PACS setup for certain PACS vendors.
  • Spectral results viewable, during a routine reading.
  • Enterprise-wide spectral viewing and analysis allows access to capabilities virtually anywhere in the organization.

* Standard with the CT Spectral option on IntelliSpace Portal.

Spectral Viewer

CT Spectral Viewer

IQon Spectral CT* Functionality

The spectral viewer is optimized for analysis of spectral data sets from the IQon Spectral CT Scanner. Obtain a comprehensive overview of each patient quickly and easily, quantify quickly, and assist in diagnosis. It is designed to accommodate general spectral viewing needs with additional tools to assist in CT images analysis.

spectral viewer thumbnail

Benefits

  • Enhances the conventional image by overlaying an iodine map.
  • Visualization of virtual non-contrast images.
  • Images at different energy levels (40-200 keV).
  • Switching to various spectral results can be done through a viewport control.
  • Manage presets to create user/site-specific presets.
  • Lesion characterization using scatter plots.
  • Tissue characterization using attenuation curves.

* IQon CT reconstruction provides a single DICOM entity containing sufficient information for retrospective analysis - Spectral Base Image (SBI). SBI contains all the spectrum of spectral results with no need for additional reconstruction or post-processing. Spectral applications are creating different spectral results from SBI.

3D Modeling

3D Modeling

Streamlined modeling workflow

Allows to view volumetric images of anatomical structures, perform segmentation, edit and combine segmented elements (tissues) into a 3D model.

3d modeling thumbnail

Benefits

  • Studies of CT & MR can be used for creating a single 3D model of the same patient. The application provides tools that allow the user to align between the volumes of interest in the images.
  • 3D Modeling batches files can be easily exported in standard formats such as STL, with the option to also provide a 3D PDF as an additional means for results sharing with 3D printing or other services* .
  • The user may determine the information related to the exported elements of the 3D model such as smoothness and output mesh size.
  • Contours can also be exported as RT Structures.

*3D models are not intended for diagnostic use.

Advanced Vessel Analysis (AVA)

Multi Modality Advanced Vessel Analysis (AVA)

Comprehensive vascular analysis planning

Designed to examine and quantify different types of vascular lesions from CTA and MRA scans. It accommodates different modes of inspection, allows labeling different vascular lesions, and helps navigating through multiple findings.
 

Demonstrated to reduce the post-processing time by 50% when compared to manual Head & Neck CT angiography (CTA) analysis*.

advanced vessel analysis thumbnail

Benefits

  • Ability to choose which Head & Neck Bone Removal method to be used (Standard vs. Smooth).
  • Customizable Volume rendering “smoothness” for the 3D Head & Neck vascular structure using a smoothness control.

* Ardley N et al. Efficacy of a new post processing workflow for CTA head and neck. ECR 2013 / C-1760.

Advanced Diffusion Analysis (ADA)

MR Advanced Diffusion Analysis

Computed diffusion weighted images at a b-value of choice

The application is intended to view, process and analyze MRI Diffusion Weighted Images. It calculates and displays cDWI at a
b-value of choice (from 0 to 5,000 s/mm2) and provides advanced supportive analysis and visualization tools of diffusion MRI images and parametric maps.

advanced diffusion analysis thumbnail

Benefits

  • Presents a default diffusion analysis model based on the available original DWI images as well as a selection of alternative models including monoexponential, biexponential, simplified IVIM, and kurtosis.
  • A ‘goodness of fit’ value and fitted curve show the fitting quality of the selected model.
  • Provides parametric maps of perfusion fraction (f), pseudo diffusivity (D*), Diffusivity (D) and Kurtosis (K).

Diffusion

MR Diffusion

Analyze diffusion and anisotropic properties of tissue

Designed to analyze diffusion and anisotropic properties of tissue. The application evaluates DWI series to generate parametric maps such as ADC and eADC. For Diffusion Tensor Imaging data, additional parametric maps are generated, including fractional anisotropy, axial diffusivity or radial diffusivity.

magnetic resonance diffusion

Benefits

  • The user can make a sub-selection of the acquired b-values for analysis and select preferred color-coding for the parametric maps.

FiberTrak

MR FiberTrak

Visualize white matter connectivity in the brain

Provides visualization and quantification of white matter structure in the brain and spinal tracts using task guidance for generating common or user-defined tracts.

FiberTrak thumbnail

Benefits

  • The guidance panel suggests which regions of interest and plane are common for identification of certain tracts such as the corticospinal tract.
  • The results can be overlaid with other data like fMRI or anatomical series.
  • Allows evaluation of fiber tracts around tumors and lesions in combination with functional areas.
  • Supports DICOM-based output with merged anatomical tractography information through the Multi Modality Viewer.

IViewBOLD

MR IViewBOLD

Brain activation analysis

Helps to identify and visualize functional regions of the brain, relying on local metabolic and hemodynamic changes that occur in activated brain areas.

iviewbold thumbnail

Benefits

  • The tool applies a generalized linear regression model to analyze block paradigms, event-related paradigms, and resting state data.
  • The paradigms can be user-defined or imported.
  • Supports export of functional results through the Multi Modality Viewer including DICOM-based images with co-registered anatomical and fMRI maps.

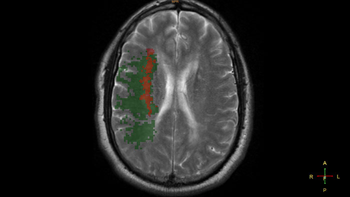
Longitudinal Brain Imaging (LoBI)

MR Longitudinal Brain Imaging (LoBI)

Gain an optimized view of the body’s most complex organ

Supports the visualization of brain images for the evaluation and monitoring of changes across multiple time points. The application performs automatic registration between studies and provides semi-automatic segmentation and editing tools for volumetric measurement of brain lesions.

longitudinal brain imaging thumbnail

Benefits

  • The Comparative Brain Imaging feature uses bias field-correction, intensity scaling, image registration and mathematical subtraction to provide color-coded images highlighting subtle brain changes over time.

MobiView

MR MobiView

Automatic review of total body MR data

MR MobiView, an option within the Multi Modality Viewer, automatically combines "stitches“ images from multiple acquisitions of the same examination to create one overall volume.

mobiview thumbnail

Benefits

  • Key clinical cases are MRA run-offs, whole-body metastases screening from eye-to-thigh, and total spine views to show the complete CNS.
  • The resulting image series can be viewed, filmed, and exported using a DICOM compliant tool.

NeuroQuant®

MR NeuroQuant®*

Automated brain image analysis solutions

MR NeuroQuant®* automatically segments and measures volumes of brain structures and compares these volumes to standard norms.

neuroquant thumbnail

Benefits

  • Convenient and cost-effective means to gain reliable, objective measurements of neurodegeneration.
  • Helps reduce the subjectivity of the diagnosis.

* NeuroQuant is a trademark of CorTechs Labs, Inc.

Permeability

MR Permeability

Lesion characterization by reviewing vascular leakage

Designed to visualize T1 weighted DCE 3D datasets and assist in analyzing the tissue response.

permeability thumbnail

Benefits

  • Calculates parametric maps such as Ktrans, Kep, ve and vf.
  • The application has been validated for prostate and brain cancer.

SpectroView

MR SpectroView

Review metabolite maps

MR SpectroView is a task-guided application providing hydrogen single voxel spectra as well as metabolic and ratio maps. It automatically identifies the anatomy to preselect appropriate metabolites or supports user-defined combination of metabolites.

spectroview thumbnail

Benefits

  • Displays numerical information about metabolites including Peak position and label, SNR, Peak Height, Peak Area, Full Width Half Maximum and Area Ratio of the displayed spectrum.
  • Provides metabolite and ratio maps as color overlay on anatomical images or mini spectra on a voxel by voxel basis. Multiple voxels can be selected for spectral comparison.
  • Supports automatic and manual phase adjustment as well as a color-coded quality indicator based on field homogeneity and SNR.

Subtraction

MR Subtraction

Perform basic calculations between two volumes

Enables basic calculations between two volumes, including addition, subtraction and ratio from within a single dynamic series.

subtraction thumbnail

Benefits

  • The application allows to subtract pre-contrast from post-contrast series.
  • Weighing factors can be applied to impact the calculation.

T2* (Neuro) Perfusion

MR T2* (Neuro) Perfusion

Reviewing brain tissue perfusion viability

Provides physicians with supporting information for the evaluation of stroke, or assessment and follow-up of brain tumors. The application supports the analysis of T2* Perfusion studies to generate parametric data including TTP, MTT or Tmax.

magnetic resonance t2 neuro

Benefits

  • Offers several analysis techniques such as leakage correction, which allows to assess the time intensity curves where there is no proper recovery of the baseline after contrast passage, and manual arterial input function (AIF) which enables perfusion-diffusion mismatch if a Diffusion input dataset is available in addition to the Perfusion series.
  • The package includes user-selected color coding of the functional data, and maps can be viewed and stored as overlays on anatomical reference images.

Mirada NM Viewer: Mirada XD 3.6

Mirada NM Viewer: Mirada XD 3.6*

Enhanced user experience for NM reading with a leading NM viewing solution

A comprehensive NM solution, designed to enhance productivity of PET/CT and NM reading. It offers a solution for handling multiple studies requiring rigorous quantification of MV data**.

mirada viewer thumbnail
mirada viewer thumbnail 2

Benefits

  • Quick and configurable protocols for efficient reading.
  • Lesion tracking and treatment response.
  • Exportable tables and graphs.
  • PET\CT and PET\CT\MR registration.

* Mirada is a registered trademark of Mirada inc.
** Please contact local Philips representative for details on multivendor coverage.

NeuroQ Amyloid

NM NeuroQ Amyloid*

Assessing Amyloid plaque

The NM NeuroQ Amyloid analysis tool is designed to help clinicians to assess the presence or absence of Amyloid plaque in the brain. Provides quantitative analysis tools for Brain PET scans using NeuraCeq or Amyvid agents.

neuroq amyloid thumbnail

Benefits

  • NeuraCeq database (Piramal).
  • Quantitative analysis of amyloid uptake levels in the brain.
  • Designed to support confidence in the diagnosis and alter treatment plan.

*NeuroQ is a trademark of Syntermed.

Vascular Processing - DSA (in MMV)

XA Vascular Processing - DSA (in MMV)

Contrast arterial structures with surrounding bone and soft tissue to assist in identification of vascular abnormalities

The XA Vascular Processing – DSA (in MMV) expands your workflow by allowing you to read and post-process iXR images virtually anywhere. Obtain images of arteries in various parts of the body using tools to perform standard and run subtractions, pixel shifting, and landmarking. This application also provides post-processing tools to edit and optimize the DSA XA data created in the interventional room.

vascular processing thumbnail

Benefits

  • Single image and ‘Run’ subtraction.
  • Pixel Shifting to correct for patient movement during contrast injection and can be performed manually.
  • Landmarking helps set a partial subtraction factor.
  • Partial subtracted image shows (to a certain degree) the complete image, with the contrast enhanced depending on the subtraction factor.
  • Same workflow as in the Philips Allura system.

Viewing (in MMV)

XA Viewing (in MMV)

Comprehensive reviewing tool for multiple modalities, all in a single viewer

The Multi Modality Viewer (MMV) now supports viewing and post processing of angiography images and series. Review and perform analysis of angiographic imaging alongside other modalities for a comprehensive review of the patient case. Perform vascular processing of images (Digital Subtraction Angiography) – subtraction, pixel shifting and land marking. Include key images into the generic MMV report. Prior to the intervention, relevant diagnostic (MR and or CT) data can be bookmarked and automatically retrieved upon patient selection in the Allura, or the Azurion suites.

xa viewing

Benefits

  • Enable a comprehensive review of a patient case across all modalities –  CT/MR/NM/US/Angio – in a single environment.
  • Advance viewing and post-processing (DSA) of angiographic images and series.
  • Annotate and perform basic measurements on images (provided the image is pre-calibrated).
  • Automatic retrieval of relevant diagnostic (CT and/or MR) data to support the intervention using iBookmark.
  • Reporting also supported; key images can be send to an MMV generic report.

*

Contact information

* This field is mandatory

*
*
*
*
*
*
*
*
*

By specifying your reason for contact we will be able to provide you with a better service.

We work with partners and distributors who may contact you about this Philips product on our behalf.

*
*

Final CEE consent

You are about to visit a Philips global content page

Continue

You are about to visit a Philips global content page

Continue

Our site can best be viewed with the latest version of Microsoft Edge, Google Chrome or Firefox.