Need more information on Ingenia Request more information here and we will get in touch with you soon.
Hear from Laura Barlow, lead technologist at the University of Columbia, how smart features help them contribute to a quick workflow for patient preparation and scanning on their Ingenia Elition 3T system.
Hear Dr. Savatovsky, neuroradiologist at Fondation Rothschild in Paris discuss the benefits that the two Philips Ingenia Elition systems are bringing their clinical practice.










Franco Grippo Assistant VP of Operations

Kris Giordano
Director of outpatient imaging
By RWJ Barnabas Health, New Jersey, USA

Dr. Jan S. Kirschke

Dr. Rickmer F. Braren

Dr. Benedikt
J. Schwaiger
First hand experiences from the Klinikum rechts der Isar/Technical University of Munich

A revolutionary breakthrough in diagnostic quality – and speed

3.0T imaging at your fingertips

Up to 50% faster MR exams, so you can spend your time wisely

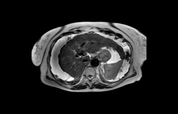
Enhanced diagnostic confidence in neuro oncology

Find the right clinical applications for your needs

See all Ingenia Elition 3.0T coils
1 Compared to Philips scans without Compressed SENSE. 2 For routine exams, based on in-house testing. 3 Based on in house testing, with brain, c-spine, l-spine, liver and knee exams, measuring exam times only. 4 SmartExam is not available to patients with MR Conditional Implants. 5 Compared to Ingenia 3.0T Omega HP R5.3.. 6 Zhou et al., Nat Med 9, 1085-1090 (2003).; Zhou et al., Magn Reson Med 50, 1120-1126 (2003); Jones et al., Magn Reson Med 56, 585-592 (2006). 7 Results from case studies are not predictive of results in other cases. Results in other cases may vary. 8 Compared to scanning without ComforTone.
You are about to visit a Philips global content page
Continue